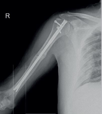
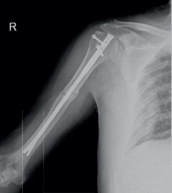
The TST InSafeLOCK® Humerus Nail is a next-generation intramedullary fixation system developed to address the challenges of humeral fracture management. Designed to improve surgical safety, efficiency, and biomechanical stability, this system incorporates a patented internal distal locking mechanism that eliminates the need for fluoroscopy during distal fixation
The TST InSafeLOCK® Humerus Nail is a next-generation intramedullary fixation system developed to address the challenges of humeral fracture management. Designed to improve surgical safety, efficiency, and biomechanical stability, this system incorporates a patented internal distal locking mechanism that eliminates the need for fluoroscopy during distal fixation

The system offers four proximal locking configurations:
Static transverse screw
Angled static screws
Dynamic compression screw
Calcar screw
The InSafeLOCK® system includes a comprehensive targeting and instrumentation platform that simplifies insertion, proximal locking, compression techniques, and removal procedures. The ergonomic instrument design supports reproducible technique and consistent outcomes.

By eliminating the traditional challenges of distal locking in humeral nailing, the TST InSafeLOCK® system represents a meaningful advancement in humerus fracture management — enhancing safety, reducing radiation exposure, and improving procedural efficiency.
ข้อมูลเพิ่มเติม ติดต่อ:
บริษัท ฟีนิกซ์ เซอร์จิคัล อิควิปเม้นท์ (ประเทศไทย) จำกัด
โทร 02-713-1159 / 089-122-0240